歯を削らずに白くするホワイトニングの症例
投稿日:2016年10月28日
カテゴリ:07.審美歯科の症例
デュアルホワイトニングで上顎の歯を白くした症例
術前
上下の歯の色は同じです。
術後
上の歯のみ、オフィス・ホーム併用ののデュアルホワイトニングを行いました。
下の歯と比較して白くなっています。
実際には上下の歯の色の差異がもっとはっきりわかります。
もし、被せ物にしたとしたら、約¥60万かかり、歯も削ることとなるため歯の耐久性も落ちてしまいます。
しかも、被せ物は人工物ですから、いつか壊れます。
そのことを考えると、この¥4万はコストパフォーマンス(費用に対する利益)が非常に高いと思います。
| 治療費 | 44,000円(税込) |
|---|---|
| リスク・注意点 | ・施術中や施術後に痛みを感じる場合がございます。 ・ホワイトニングの効果には個人差がございます。 |
上下顎の歯をホワイトニングで白くした症例
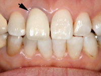
初診時
矢印の歯は被せ物です。
以前、「白い被せ物にしたい」と思ったため、まわりの歯よりも白いものを入れてしまったとの事です。
「まわりの歯も削って白い被せ物にしたい」
との事でした。
術前:拡大図
一度削った歯は元に戻りません。
被せ物も一生もつわけではありません。
費用も約60万円かかります。
私は、ホワイトニングを勧めます。
被せ物にあわせて、まわりの歯をホワイトニングしていきましょう!
そうすれば、削らずにすみますし、
費用も上下12本で6万円ですみます。
白くなった後、白さが気に入らなければ、その被せ物1本だけやり直せばいいじゃないですか。 」
と説明し、同意を受け、上下ホワイトニングすることとなりました。
術後
矢印の歯は被せ物(人工物)ですので色は変わりません。
そこで、矢印の歯を基準として、まわりの歯がどの程度白くなったかを、術前と比較してください。
まわりの歯はホワイトニングで白くなり、矢印の歯と同じくらいの白さになりました。
術後:拡大図
矢印の歯は被せ物(人工物)なので色は変わりません。
術前と比べれば、歯が白くなったのがお分かりいただけると思います。
患者様は非常に喜んでくださいました。
術後:平均的な歯の色との比較
矢印の人工歯は日本人の平均的な歯の色(A3)です。
いかに、白い歯となったかお分かりいただけるでしょうか。
もし、被せ物にしたとしたら、約¥60万かかり、歯も削ることとなるため歯の耐久性も落ちてしまいます。
しかも、被せ物は人工物ですから、いつか壊れます。
そのことを考えると、この¥6万はコストパフォーマンス(費用に対する利益)が非常に高いと思います。
| 治療費 | 66,000円(税込) |
|---|---|
| リスク・注意点 | ・施術中や施術後に痛みを感じる場合がございます。 ・ホワイトニングの効果には個人差がございます。 |
歯科医師から一言
ホワイトニングの効果は「ホワイトニングの効果=薬剤の濃度×時間」であると思います。
しかし、薬剤の濃度を高くしすぎるのも問題です。
そこで、ホームホワイトニングをして頂き、オフィスホワイトニングで効果を促進させると言うやりかたにしております。
ホワイトニングの歴史は古く、古代ローマ帝国の時代にはあったそうです。
そのやり方は・・・・・・・・、院長に直接、またはメールでお尋ね下さい。
少々、誌面掲載をはばかる内容です。
■ 他の記事を読む■








