子供(小学生)の頃から歯並びを育てていく
投稿日:2020年1月8日
子供(小学生)の頃から歯並びを育てていく
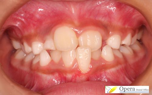
小学3年生の女の子です。歯並びを気にしてご両親が連れてきました。

部分的に上下の歯が逆になっていると、アゴがずれて成長してしまいます。
歯並びだけならば永久歯が生えそろった中学生以降からでもできます。
しかし、歯並びが整ってもアゴの骨格を治すことは非常に難しいです。
悪くなった歯並びを治すのではなく、きれいな歯並びになるよう「歯並びの予防」をするために、早期治療を始めました。

歯並びが悪い人はかみ合わせの高さが足りません。上下的・垂直的に成長が足りないのです。
そこで乳歯に被せ物をして高さを作り出しました。歯は一切削っておりません。
子供は3日でこの高さに慣れます。
ここからワイヤーを歯にかけて、歯列を広げていきます。
約2年後です。

永久歯がギリギリ歯列に収まる位まで歯並びが広がってきました。
小学校在学中には治療は終わると思います。
歯並びは大人になってからも治すことはできます。
しかし、アゴの骨格形態は大人になってからでは治すことは難しいです。
だからこそ、発育段階にある小学校2〜4年生くらいからの治療をお勧めします。
金額は装置装着時に ¥330,000/税込、1ヶ月に1回¥5,500/税込です。
一見高いように思われるかもしれませんが、アゴが小さいまま生涯を送り、気道の狭窄・睡眠時無呼吸が一生続くことを考えると、むしろ素晴らしいコストパフォーマンスと思われます。
歯並びが悪いと特定の歯に力が集中したり汚れがたまったりして、歯が悪くなります。
歯並びが悪いままインプラントをしても、また違うところが悪くなってきます。
小学生からの歯並び治療は、将来歯が悪くならないための予防 と言えます。
| 年齢 | 8歳女子 |
|---|---|
| 治療費 | 330,000円+5,500円/月(税込) |
| リスク・注意点 | ・矯正に伴う歯の痛みや違和感を感じる場合がございます。。 ・計画どおりに歯が動かない場合があります。。 |
小学生の頃から歯並びを育て、抜歯しないで歯並びを作る
小学校3年生男子で歯並びを主訴としてご来院されました。



ガチャガチャの歯並びの場合、前後左右方向の広がりが小さいばかりではなく、上下的な高さも足りません。
上下的な高さを変えずに歯を並べようとすると、上下とも前広がってしまい、カラス天狗の様になってしまいます。
被せ物で高さを作りました。歯は一切削っておりません。



はじめ違和感がありますが、3日で慣れます。子供は大人と違い、3日で慣れます。
上下的に高さを作ったところでワイヤーを着けて広げていきます。



約1.5年後です。



このあと、リテーナーという入れ歯の様なものを作り、寝る時だけつけてもらいます。
| 年齢 | 8歳男子 小学校3年生 |
|---|---|
| 治療費 |
330,000円+5,500円/月(10%税込) 治療終了時に保定装置55,000円(10%税込)(金額は今後値上げする可能性あり) |
| リスク・注意点 |
・矯正に伴う歯の痛みや違和感を感じる場合がございます。 |
■ 他の記事を読む■








