インプラントが難しい方、すれ違い咬合の方の入れ歯・義歯 テレスコープデンチャー
投稿日:2025年12月31日
インプラントは義歯と違い骨に埋まっているので全く動きません。その為、どんな義歯よりもよく噛めます。
しかし、全身疾患の問題、経済的な問題でどうしてもできない場合があります。
その場合はテレスコープデンチャーが良いと思います。
私はインプラントが世に広まる前に大学を卒業しましたので、このテレスコープデンチャーを非常に多くやってきました。都会のそれもビジネス街では義歯がほとんどなくなり、若い先生はインプラントはしたことがあるが義歯はやったことが無いという方もいるそうです。

歯は残っているが上下で咬んでいる歯はない、これをすれ違い咬合と言います。すれ違い咬合には上の奥歯と下の前歯だけが残っている前後的すれ違い咬合と、上下の歯が左右で逆方向に残っている左右的すれ違い咬合があります。
このうち左右的すれ違い咬合は最も入れ歯の安定が難しい歯の残り方と言われ、これを解決するには
1.上顎を総義歯にする(下顎の総義歯は上顎の総義歯よりも難しいため)
2.インプラントを入れて咬める部分を作り出す
3.テレスコープデンチャーにする
より他ないと昔本で読んだことがあります。ただ、出典がいまひとつ思い出せません。
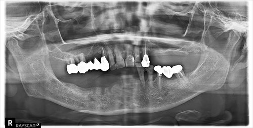
インプラントの本数が多数になる事、全身の問題があり、テレスコープデンチャーとなりました。
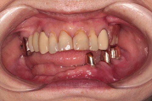
義歯が入ったところです。
義歯を外したところです。歯に内冠と呼ばれるかぶせ物を装着し、その上に義歯をかぶせていきます。




テレスコープデンチャーの利点は
部分入れ歯の最終進化形態であり、これをもって部分入れ歯の歴史はほぼ終わり、インプラントへ移行したため、部分入れ歯としては最も咬めるものである事
たとえ残っている歯が無くなってもそのまま総入れ歯として使える事
です。
ただし、総入れ歯はかみ合わせ・歯並びが非常に重要なので、歯を失った時の事も考えて歯並びを作っていかなければなりません。
この、だめになった時どうするか 総入れ歯になった時に作り直さずにできるか など、後々のことまで考えてかみ合わせを含めた治療を考えることが当医院の特徴だと思っております。
| 年齢 性別 | 60代 女性 |
| 治療期間 | 義歯の製作だけならば2か月 |
| 治療費 |
内冠+外冠\30万×3本:\90万 義歯部:\40万 小計:\130万 税10%:\13万 総額:\143万 (物価の上昇、特に金属の値段が上がっているため、値上げの可能性は高いです。) |
| 利点 |
非常に良く噛めます。入れ歯の最終進化形態ともいえ、入れ歯はこれをもってその歴史がほぼ途絶え、インプラントへと移行しました。 失った歯の本数が多ければ多いほど、費用対効果が良くなってきます。 残っている歯が順次なくなっていっても、作り直さずにそのまま使えます。 |
| 欠点 |
上顎の場合、天井を覆う事になります。(入れ歯のがたつきが少ないため、嘔吐反射・えづく人でも意外と慣れてきます。) インプラントは全く動かないが、義歯であるため、多少は動きます。 義歯を外すと、見た目が良くない 初めて入れる義歯がこの義歯だと、比較対象が健康だった時のすべてそろった自分の歯となるため、満足されないことも考えられます。しかし、一度でも保険の入れ歯を入れた経験のある方ならばその素晴らしさがご理解いただけます。 |
| 備考 |
下あるいは上だけ入れ歯を作って欲しい、反対側の歯は手を付けないで欲しい、と望む方がいます。これは保険・自費に関わらず非常に危ない考えです。 そもそも歯が無くなったのは「はならび・かみ合わせ」が原因である可能性が高いです。 顎はカスタネットの様にパカパカ上下運動するだけでなく、少しずらして咬んだり、すりつぶしたりします。そんな時にでこぼこの歯並びだと上下の歯同士が引っかかってしまい、だ名なってしまいます。入れ歯の場合はガタついてしまいます。 良い入れ歯を望む方はたとえ保険診療であっても、上下で治療を考えてください。 |
多数の歯が無くなった方の最高の治療方法は、 下顎はインプラント・上顎はテレスコープデンチャー ではないかと私は思っております。
■ 他の記事を読む■








