約50万円の自費の義歯 ミラクルデンチャー
投稿日:2026年1月2日
カテゴリ:01.ミラクルデンチャーの症例 03.入れ歯の症例
経済的にインプラントやテレスコープデンチャーにどうしてもできない、しかし、保険の入れ歯では厚みや大きさがどうしても受け入れ難い、という方がいらっしゃいます。
その様な方にはミラクルデンチャーをお勧めしています。
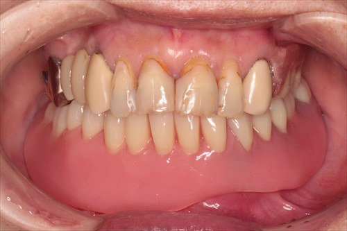
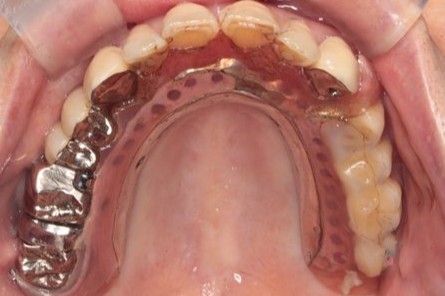
上顎はミラクルデンチャー、下顎はテレスコープデンチャーの症例です。

下顎は3本しか歯が残せなかったため、テレスコープデンチャーでもある程度費用を抑えることが出来ました。
しかし、
・上顎は残存歯が多かったためにテレスコープデンチャーでは金額がかなりの高額になる事、
・インプラントでも高額になる事、
・残っている歯も決して良い状態ではなく、もしインプラントを今行うと、追加追加でインプラントを行っていくことになる事
が考えられたため、ミラクルデンチャーにしました。

ミラクルデンチャーが装着された図です。

口蓋部分をなくすことが出来ました。
| 年齢 性別 | 60代 女性 |
| 治療期間 | 義歯の製作だけならば1か月 |
| 治療費 |
仮の義歯¥100,000 ミラクルデンチャー¥400,000 税10%¥50,000 計¥550,000 |
| 利点 |
インプラントやテレスコープデンチャーよりは安価です。 保険の入れ歯より咬めます。 保険の入れ歯よりフィット感が良く、異物感が少ないです。 たとえ10本歯がなかったとしても、インプラント約1本分の金額で作ることが出来ます。 |
| 欠点 |
残存歯に大きな負担をかけることになります。 歯が無くなった時に、比較的修理が難しいです。 残存歯をかぶせ物で連結させて、入れ歯の力に対抗させる必要があります。 初めて入れる義歯がこの義歯だと、比較対象が健康だった時のすべてそろった自分の歯となるため、満足されないことも考えられます。しかし、一度でも保険の入れ歯を入れた経験のある方ならばその素晴らしさがご理解いただけます。 |
歯の残っている本数が5本程度以下ならば、テレスコープデンチャーにして、歯が無くなってもそのまま使えるようにするという事が望ましいと思います。
■ 他の記事を読む■








