最も部分入れ歯が難しい歯の残り方:左右的すれ違い咬合:テレスコープデンチャー
投稿日:2026年1月3日
入れ歯がどうしても会わないという60代の女性がいらっしゃいました。
レントゲンを診て悩みました。左右的すれ違い咬合だったからです。

すれ違い咬合とは 上下の歯が、左右どちらかですれ違っていて、かみ合う歯がほとんど無い状態のことです。
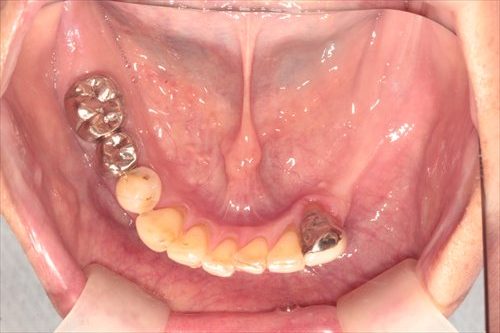
この方の場合で言うと、左(写真向かって右)では上の歯だけ、右(写真向かって左)では下の歯だけが残っているような状態です。
左右で噛む場所がズレていると、入れ歯にかかる力がシーソーのように一方に傾くため、入れ歯が浮いたり、外れたりしやすくなります。
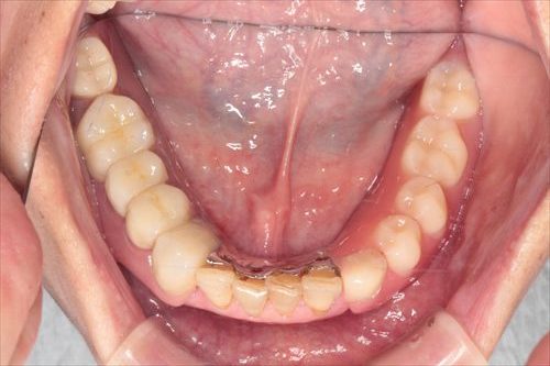
部分入れ歯は、残っている歯を“柱”にして支えます。
しかし、すれ違い咬合では その柱が左右でバラバラな場所にしかありません。
そのため、噛むたびに
・入れ歯が回る
・沈む
・反対側が浮く
という動きが起きやすくなります。
しかも、この方の場合、神経の無い歯が多数あります。神経の無い歯は割れやすく、予後不良となることが多いです。
さらに、下の歯の無い部分の顎の骨は一部腐骨と言って腐っており、その部分を切除しなければなりません。
下顎にインプラントをするのが一番いいのですが、GBR(造骨)手術をしなければならず、しかもGBRした骨が永続的に残るかというと疑問があります。
考えられる問題を患者さんに説明し、治療の同意を得ました。
術前です。



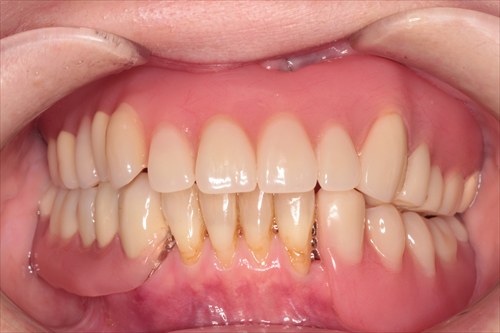
術後です。



義歯を外したところです。

上下どちらの顎も、歯の無い部分が大きくえぐれているのがわかるでしょうか?
これがすれ違い咬合の怖さです。残っている歯による顎の骨への攻撃が強いため、顎の骨が経年的に失われていきます。
それでも「今までの人生で一番かめる!」とおっしゃっていただけました!
| 年齢 性別 | 60代 女性 |
| 治療期間 |
義歯の製作だけなら約2か月 しかし、腐骨の除去、歯周病の外科治療、歯の根の治療などで、1年以上かかっています。、 |
| 治療費 |
上顎:内冠・外冠:\300,000×5本、義歯¥400,000、税¥190,000:計¥2,090,000 下顎:内観・外冠:\300,000×4本、義歯¥400,000、税¥160,000:計¥1,760,000 |
| 利点 |
部分入れ歯の最高峰です。これより咬める補綴治療はインプラントくらいです。 もし、インプラントにした場合、おそらく上顎約¥250万、下顎約¥250万、計約¥500万になると思います。それよりは安価です。 なにより、残っている歯がダメになってもそのまま義歯が使えるという利点があります。 上顎が早く無くなって総義歯となり、下の歯が残ってくれれば、かなり長期に使えると思います。 |
| 欠点 |
金銭が許すならば、インプラントの方がより良い結果が出せる |
すれ違い咬合になる方はほぼ間違いなく、歯があった時から顔や骨格に左右差があります。
当医院の今の課題は、歯のあるうちから、歯並びの左右差をなくし、きれいなかみ合わせで、一生入れ歯の世話にならない人を作り上げていくことです。
■ 他の記事を読む■








