見た目が良い・動かない・噛める部分入れ歯(ミラクルデンチャー)
投稿日:2017年12月7日
カテゴリ:01.ミラクルデンチャーの症例
見た目が良い・動かない・噛める部分入れ歯(50代 男性)
下あごにインプラントを希望された50代の男性です。
インプラント治療をするためには残っている歯に対して歯周病治療をしっかり行わなければなりません。
たとえ現在使用可能な歯であっても
・支えている骨の量が歯の根の長さの1/3以下の場合
・歯周ポケットが8mm以上の場合
・歯の根の股の部分に骨がない場合(根分岐部病変がある場合)
などは抜歯の対象となってしまいます。
抜歯せずにインプラント治療を行うと、インプラントが歯周病になったり、後から歯が抜けたときにインプラントを追加するということになり、インプラントのエンドレスワークに陥ることがあります。


「たとえ学問的には抜歯が適応の歯でも、使えるところまでは使いたい。保険の義歯よりは噛める入れ歯にしてほしい」
という患者様の希望を受け、ミラクルデンチャーとしました。ミラクルデンチャーならば残っている歯にあまり手を加えずに製作することができるからです。
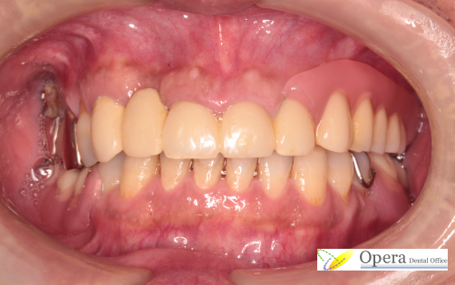
装着後の写真です。上あごは以前から入っている入れ歯です。



審美的にも義歯のバネはほとんど見えず、安定感もあってしっかり噛むことができ、人前で話すときも問題ないということで、治療は終了いたしました。
金額は385,000円(税込)です。
| 年齢 | 50代男性 |
|---|---|
| 治療費 | 385,000円(税込) |
| リスク・注意点 | ・入れ歯は経年による劣化、日々の使用によって摩耗していきます。 ・日々のお手入れ、定期的な咬み合せの調整が必要となります。 |
噛める・違和感の少ない部分入れ歯(70代 女性)
70代女性です。
約50Km離れた他県から部分入れ歯で噛めるようになりたいと言う事で来院されました。
顎の骨の具合は良く、初回来院時に入っていた義歯もなかなか良いものでしたが、噛み合わせや歯並びに問題がありました。
本人の時間の都合上、下の入れ歯まで作る時間がなく、まずは上の入れ歯を作り、下の入れ歯は修理することになりました。
「部分入れ歯が合わない」というとすぐに部分入れ歯を作り直せば良いと考えるかも知れません。
しかしそれではダメなのです。
部分入れ歯が合わないのは入れ歯が悪いわけではありません。
残っている歯が部分入れ歯に合わない形をしているから、部分入れ歯がうまく入らなないのです。
段取り8割・仕事2割 という格言がありますが、部分入れ歯治療において段取りとは残っている歯をどのような形にするかです。そこに時間がかかります。
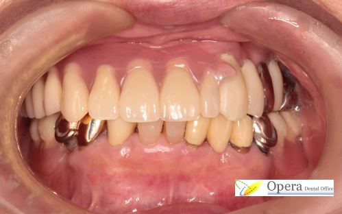
術前写真です。


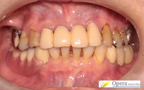
術後写真です。


下の入れ歯は以前入っていた保険の入れ歯を修理しております。
「しっかり入り過ぎて自分で外すことができない」ということで緩くするように1回調整しました。
その調整で全く問題ない と言っていただけるようになりました。
下の入れ歯は以前に保険で作ったものなので歯にかける金属のフック(クラスプ)が見えますが、上顎に新たに入った自費の義歯 ミラクルデンチャーのクラスプは目立ちません。
よほど近づかない限りわかりません。
| 年齢 性別 | 70代 女性 |
| 治療費用 | 保険2割負担で約25,000円 自費義歯ミラクルデンチャー 385,000円(税込) |
| 治療期間 | 保険8回3ヶ月 自費義歯製作3回1ヶ月 |
| リスク | ごく稀に金属アレルギーを発症する可能性があります。 咀嚼能力はインプラントに劣ります。 しかし、外科処置をほとんど必要とせず、期間も短く、体に優しく、しかもインプラント1本分の金額で多数歯の治療ができるため、コストパフォーマンス・費用対効果の点で大きなメリットがあると思います。 |
非常に気に入っていただけたため、来年の夏頃になって仕事が落ち着いたら下も同じ入れ歯にするそうです。
噛む力は、入れ歯に比べるとインプラントが勝っています。
小数歯(1~2本)の欠損の場合は、当院でもインプラントを選択するケースが多々あります。
しかし、多数の歯が失われているならば、インプラント1~2本分で、口腔内全体の治療が終えられるので経済的に魅力があると思われます。
なお、当院では、昼休みや診療終了後に 入れ歯無料相談 も行っておりますので、是非ご利用ください。
ジャマにならない噛める下顎の部分入れ歯(70代 女性)
70代女性です。右下の歯がグラグラしてダメになり、抜歯せざるを得ない状態でした。
正面です。

下あごの咬合面です。

この部分が保存不可能です。

後期高齢者であり、全身疾患も多少あることからインプラントはやめておきました。
今後介護が必要なくらい体調が悪くなった時、そのような体調でインプラントを除去するのは大変ではないかと考えたからです。
また、費用的なものもありました。
インプラントの場合、当医院では1本¥374,000(税込)、この症例では2本インプラントを行なってブリッジにするとして¥858,000(税込)でした。
それに対してミラクルデンチャーは¥385,000(税込)と、インプラント1本分で3本欠損を補うことができます。
ミラクルデンチャー装着時です。
正面感です。入れ歯が外れ内容はに引っ掛けるフック(クラスプ)はピンク色で、まず入れ歯である事は気付かれません。

入れ歯が入ったところです。

入れ歯を除去した状態です。

この部分を保険診療で治療しています。

ミラクルデンチャーです。

外れにくく、密着して食事も美味しく頂けるとのことです。
当医院には「部分入れ歯が合わない』ということで静岡県の東部(駿河)から愛知県東部(三河)くらいの範囲で多くいらっしゃいます。(少数ですがもっと遠くからいらっしゃる方もいます。)
部分入れ歯が合わないということを主訴として来院される方にはいつも
「部分入れ歯が合わないのは部分入れ歯が悪いわけではありません。残っている歯が部分入れ歯の入らないような形をし、部分入れ歯が外れるような環境にあるからです。そのため、残っている歯を処置する可能性があります。」
と申しております。
この症例では6本、保険診療で被せ物をやり直し、その上でミラクルデンチャーを装着しました。
| 年齢 性別 | 70代 女性 |
| 治療費用 | 保険2割負担で約24,000円(約40,000円×6本) 自費義歯ミラクルデンチャー 385,000円(税込) |
| 治療期間 | 保険8回3ヶ月 自費義歯製作3回1ヶ月 |
| リスク | ごく稀に金属アレルギーを発症する可能性があります。 咀嚼能力はインプラントに劣ります。 しかし、外科処置をほとんど必要とせず、期間も短く、体に優しく、しかもインプラント1本分の金額で多数歯の治療ができるため、コストパフォーマンス・費用対効果の点で大きなメリットがあると思います。 |
噛む力は、入れ歯に比べるとインプラントが勝っています。
小数歯(1~2本)の欠損の場合は、当院でもインプラントを選択するケースが多々あります。
しかし、多数の歯が失われているならば、インプラント1~2本分で、口腔内全体の治療が終えられるので経済的に魅力があると思われます。
なお、当院では、昼休みや診療終了後に 入れ歯無料相談 も行っておりますので、是非ご利用ください。
患者さんの感想感想文_0002-2
歯が悉皆ぴったり装着されているので食事がおいしく食べられるようになりました。
※ご来院前に当院の入れ歯治療のページをご覧いただけるとスムーズかと思いますのでぜひご覧ください。
■ 他の記事を読む■








