50代男性へのインプラントより経済的な入れ歯

投稿日:2018年12月22日

カテゴリ:01.ミラクルデンチャーの症例

50代男性へのインプラントより経済的な入れ歯の症例①

50代後半の男性です。奥歯が3本(左下5、6、7番)ありません。

インプラントで治療を行うとした場合、左下5、7にインプラントを埋入して被せ物でつなげることになります。費用は70万円から90万円程度かかります。
費用に幅があるのは、医院によって治療費が違うからです。東京大阪など大都市では家賃地代が高いことから高くなりますし、技術的に優れた歯科医師の場合は治療費が高くなります。

インプラントと自分の歯をつなげれば費用が安くなるのでは、という質問を受けることもあるのですが、自分の歯とインプラントをつなげるのは学問的にはダメとされています。

保険の入れ歯でもかなり良かったのですが、より安定した審美的にも良い入れ歯を希望された為、ミラクルデンチャーを行いました。

術前です。

保険の義歯を入れたところです。

ミラクルデンチャーを装着したところです。

入れ歯のバネがほとんど見えなくなっているのがお分りいただけるでしょうか?

自前の歯にかかるバネも目立たず、安定してしっかり噛めて、なおかつ治療期間は 3回約2週間 で終わりました。金額は385,000円(税込)でした。4回目に調整にいらしたのですが、ほとんど全く調整せずにすみました。

入れ歯が合わないとおっしゃって来院される方は大勢います。
そのほとんどの方は入れ歯が悪いのではなく、自前の歯に原因があり、入れ歯が入らないような歯並びや歯の形をしております。

今回の場合入れ歯がうまくいったのは、以前、元々の歯を治療して、歯並びの問題を解決させていたからかもしれません。

 
年齢 50代男性
治療費 385,000円(税込)
リスク・注意点 ・入れ歯は経年による劣化、日々の使用によって摩耗していきます。
・日々のお手入れ、定期的な咬み合せの調整が必要となります。

50代男性へのインプラントより経済的な入れ歯の症例②

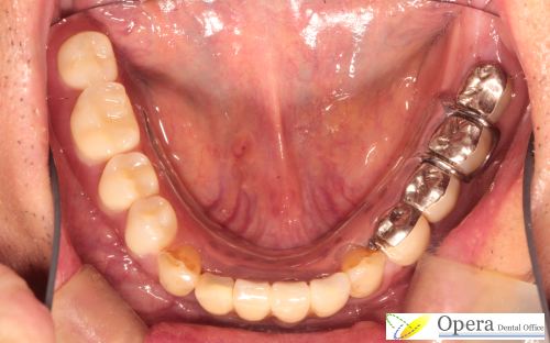
50代後半の男性。右下の自分の歯が歯周病で無くなってしまいました。

前歯はインプラントです。

インプラントは素晴らしい治療です。しかし欠点もあります。

インプラントは虫歯にはなりませんが、歯周病にはなるということです。それとインプラントと自前の歯をつなげてはいけないということです。

そのため、歯周病でいずれダメになるであろう歯を残して欠損部分にインプラントをすると、歯がダメになったらインプラント、そのまた他の歯がダメになったらインプラント、といった具合に、追加インプラントのエンドレスワークになってしまいます。

インプラントを入れるならば、10〜15年以内にダメになってしまいそうな歯をあらかじめ抜歯して、10年以上持つ歯だけを残して他はインプラントといった治療計画も必要になって来ます。
しかし、患者様としては10年もつ歯を抜歯したくないという気持ちの方がほとんどなので、治療が難しくなります。

今回はインプラントは行わないということだったので、入れ歯で治療することになりました。

今回インプラントを右下に入れても、今度は他の歯が抜けてインプラントにしなければならなくなるからです。ダメな歯がすべて抜けてからインプラントを行うか、もちそうにない歯を今抜歯してインプラントをするか、悩むところです。

 

入れ歯のバネはありませんので、審美的には問題ありません。

食事も問題ないとのことです。

いくらミラクルデンチャーが良くても所詮入れ歯です。自前の歯やインプラントほどには強くかめません。しかし、保険の義歯と比較するならば、装着感も咀嚼力もどちらも優れます。

治療期間は 3回約2週間 で費用は385,000円(税込) でした。4回目に調整しましたが、ほとんど調整は必要ありませんでした。

年齢 50代男性
治療費 385,000円(税込)
リスク・注意点 ・入れ歯は経年による劣化、日々の使用によって摩耗していきます。
・日々のお手入れ、定期的な咬み合せの調整が必要となります。

※ご来院前に当院の入れ歯治療のページをご覧いただけるとスムーズかと思いますのでぜひご覧ください。

入れ歯治療ページはこちら >>