入れ歯の違和感が気になる・合わない方へおすすめの入れ歯
投稿日:2020年12月6日
カテゴリ:01.ミラクルデンチャーの症例 03.入れ歯の症例
小さな入れ歯にして欲しい 60代女性
60代女性です。
後ろの歯が2本なくなってしまいました。
歯の番号で言いますと、左上の6番、左上7番の2本がなくなっています。
このような場合、私は患者さんの経済的負担を少なくするために、6番だけにインプラントを入れます。
インプラントは当医院の場合、被せ物を含めて約35万円、税金入れて38万円程度かかります。
それが2本だと70万〜80万円かかります。
6番1本だけならば、35万円で、しかもかけた費用に対して非常によく噛めます。
しかし、7番はかけた費用に対して得られる機能(コストパフォーマンス)が低いのではないかと思います。
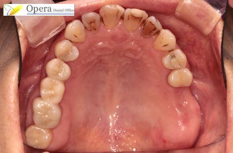
術前です。


これに保険で入れ歯を入れようとすると下の図の様になり、たった2本のために天井の間隔が非常に悪いものとなってしまいます。

骨が薄いため、インプラントだけでなく骨も作る必要がありました。
患者さんと相談の結果、自費の義歯ミラクルデンチャーとなりました。



| 年齢 性別 | 60代 女性 |
| 費用 | 自費部分義歯ミラクルデンチャー 350,000円 |
| 期間 | 1ヶ月 2回 |
| リスク | ごく稀に金属アレルギーを発症する可能性があります。 咀嚼能力はインプラントに劣ります。 しかし、外科処置をほとんど必要とせず、期間も短く、体に優しく、しかもインプラント1本分の金額で多数歯の治療ができるため、コストパフォーマンス・費用対効果の点で大きなメリットがあると思います。 |
入れ歯のフック(クラスプ)がかかる歯をかぶせものにして連結させればよろよく入れ歯が入ったのですが、綺麗な自前の歯を削るのは忍びなく、全く手をつけずに入れ歯を作ることにしました。
噛む力は、入れ歯に比べるとインプラントが勝っています。
小数歯(1~2本)の欠損の場合は、当院でもインプラントを選択するケースが多々あります。
しかし、多数の歯が失われているならば、インプラント1~2本分で、口腔内全体の治療が終えられるので経済的に魅力があると思われます。
なお、当院では、昼休みや診療終了後に 入れ歯無料相談 も行っておりますので、是非ご利用ください。
入れ歯の違和感を少なくしたい 70代男性
入れ歯が合わないということで来院された70代男性です。

ほとんどの歯が崩壊しており、歯というよりも体を化膿させる異物となっています。
3本程度しか残せそうにないと診断しました。

どんなに高額な入れ歯でも、所詮は入れ歯です。その大きさを小さくすると言っても限度はあります。
しかも口は髪の毛1本でも感じるくらいの繊細さを持っています。
可能な限り入れ歯の面積を少なくするために、下顎は入れ歯ではなく保険のブリッジ(つなげた被せ物)にしました。
入れ歯を外したところです。

入れ歯を装着したところです。

下の歯は入れ歯ではなく保険のブリッジ(繋げた被せ物)を入れています。




当医院では 何でもかんでも高額な自費診療という方針ではなく、 保険でまかなえるところは保険診療、審美的にどうしても問題が出るところや機能を高めたいところにだけ自費診療 という方針で治療をしています。
なお当医院では、75歳(後期高齢者)より若い方・全身疾患のない方・歯の欠損本数が少ない方には積極的にインプラントも行なっています。
| 年齢 性別 | 70代 男性 |
| 治療費用 | 保険3割負担で約60,000円 自費義歯ミラクルデンチャー 385,000円(税込) |
| 治療期間 | 保険自費合わせて約6ヶ月 |
| リスク | ごく稀に金属アレルギーを発症する可能性があります。 咀嚼能力はインプラントに劣ります。 しかし、外科処置をほとんど必要とせず、期間も短く、体に優しく、しかもインプラント1本分の金額で多数歯の治療ができるため、コストパフォーマンス・費用対効果の点で大きなメリットがあると思います。 |
噛む力は、入れ歯に比べるとインプラントが勝っています。
小数歯(1~2本)の欠損の場合は、当院でもインプラントを選択するケースが多々あります。
しかし、多数の歯が失われているならば、インプラント1~2本分で、口腔内全体の治療が終えられるので経済的に魅力があると思われます。
なお、当院では、昼休みや診療終了後に 入れ歯無料相談 も行っておりますので、是非ご利用ください。
入れ歯が合わない70代女性
「入れ歯が合わない」 ということでいらした70代女性です。
入れ歯が合わない のは 入れ歯が悪いから とは限りません。
歯並びが悪いといくら高額な入れ歯を入れても、安定しません。
状況を診ていきます。

歯並びが左(向かって右)に傾いているように見えます。
また、入れ歯のフックも目立ちます。


これだけではよくわかりません。
しかし、横から見ると歯並びが乱れているのがわかります。


口腔内の模型をご覧いただき、さらに模型で左右差・前後差を確認頂き、治療を開始しました。
治療後
9ヶ月後の状態です。

左右差がなくなっているのがお分かりいただけるでしょうか?
また、入れ歯のフックも目立ちません。よほど顔を近づけて覗き込まない限り、入れ歯であることはバレません。

保険の入れ歯はプラスチックのみでできている為、天井を覆わないと割れてしまいます。
今回は金属の裏打ちのあるミラクルデンチャーを行いました。
とは言え、学問として考えた場合、やはり本当は天井を覆った方が耐久性は高まります。
金額は ¥38.5万(税込) です。
装着感(吸着感)は非常に良い、違和感はない、おもち おせんべいが食べられるようになった とお褒めの言葉を頂きました。

下顎の歯並びを整えるために、歯の上に被せ物をして歯並びを整えました。

右下の歯の上に被せ物をしています。これは過去に他の医院で行なったインプラントの歯です。
インプラントの上の被せ物には保険が効かないため、この被せ物は自費で治療せざるを得ませんでした。
¥49,500(税込)×3本でした。

左下の歯に被せ物をして歯並びを整えています。
この歯は保険です。約¥5,000×3本でした。
ミラクルデンチャーの写真です。


| 期間 | 保険診療8ヶ月、ミラクルデンチャー1ヶ月 |
| 費用 | 保険診療約4万円(2割負担)、右下の被せ物148,500円(税込)、ミラクルデンチャー385,000円(税込) |
| メリットデメリット | 咀嚼能力はインプラントに劣ります。 しかし、外科処置をほとんど必要とせず、期間も短く、体に優しく、しかもインプラント1本分の金額で多数歯の治療ができるため、コストパフォーマンス・費用対効果の点で大きなメリットがあると思います。 |
入れ歯が合わないのは入れ歯だけが悪いのではありません。歯並びが悪いのです。また、残っているが入れば似合いにくい形をしているのです。
この患者さんもミラクルデンチャーを入れる前に保険の入れ歯を入れたのですが、今までとは全く違うと評価して下さいました。
その上で自費の入れ歯治療をいたしました。
保険の入れ歯で満足行ったのですから、自費の入れ歯ではさらに満足いきます。
見ず知らずの初めてあった患者さんに、いきなり数百万の治療を進める度胸は私にはありません。(そうせざるを得ないインプラント治療もあります。)
しかし、一歩一歩階段を登るように、まずは保険治療で様子をみ、それで大丈夫ならば自費治療に進む、というやり方をほとんどの場合取っています。
患者さんも、大きな金額をかけたのに満足できないのではないか、という不安を取り除くことができるので、このような診療スタイルはいいのではないかと思います。
そして、歯並びが悪いと歯が悪くなりやすいし、治療をしても満足な結果を出すのが難しいです。
この症例をご覧になった方はお子様、お孫様の歯並びを気にかけてほしい と思います。
歯並びが悪いと生涯のうちのどこかで必ず苦労します。
患者さんから感謝の手紙をいただきましたが、厚生労働省の指針で個人の感想を掲載することは禁止されているため、この場に示せないことをご容赦ください。
※ご来院前に当院の入れ歯治療のページをご覧いただけるとスムーズかと思いますのでぜひご覧ください。
■ 他の記事を読む■








