入れ歯は咬み合わせの分析が大切
投稿日:2022年5月22日
ミラクルデンチャー作成前の分析
70代女性、入れ歯の前歯が取れたので、新たに入れ歯を作ってほしいという事で来院されました。
当医院歯科医師は補綴学会の会員(ほてつせんもんい:入れ歯・被せ物・咬み合わせを専門した学会)であるため、入れ歯関係の方が浜松以外からもいらっしゃいます。
しかし、入れ歯が合わないのは入れ歯が悪いのではなく、入れ歯が入らない歯の形や歯並びをしているのが原因です。
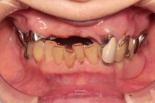
初診時の状態です。



これを分析します。

咬合器という器械に模型を装着して、分析を行います。
単に石膏模型を器械につけているのではありません。患者さんの耳や鼻の位置を計測し、顎の関節と機器の蝶番部がほぼ一致する様に装着しています。
だいぶ歯並びが傾いているのがわかります。

左右差がひどくあるのがわかります。

下の金属の板に平行であればあるほど顎の力を多くの歯で受け止めることができます。
症例の歯並びは前歯が上がって奥歯が下がっています。
この様な場合、咬むと下顎の前歯が上あごの前歯を突き上げることになる為、上の前歯がダメになりやすいです。また、下の奥歯は力がかかりすぎて早期にダメになります。
この分析結果をもとに、患者さんと治療の相談を行いました。
この様な相談は昼休みや、医院の診療時間外に行っています。診療時間は診療を行い、一人でも多くの患者さんの治療をしなければならないからです。分析も診療時間外に行います。そしてその説明も診療時間外に行っています。
ミラクルデンチャーの装着
咬み合わせを高くして下の前歯が上の前歯を突き上げないようにし、左右の歯の長さも整え左右差が無いようにしました。
下顎は保険の入れ歯ですが、上顎は自費の入れ歯:ミラクルデンチャーです。クラスプ(歯に引っ掛ける入れ歯のフックの事)も見えません。



初診時の写真と比較すれば、左右差が無くなったことがわかると思います。
| 年齢 性別 | 70代 女性 |
| 治療費用 |
上自費総義歯 385,000円(税込) なおその他に、保険の入れ歯を作っています。 |
| 治療期間 | 保険自費合わせて約10ヶ月 |
| リスク | ごく稀に金属アレルギーを発症する可能性があります。 咀嚼能力はインプラントに劣ります。 しかし、外科処置をほとんど必要とせず、期間も短く、体に優しく、しかもインプラント1本分の金額で多数歯の治療ができるため、コストパフォーマンス・費用対効果の点で大きなメリットがあると思います。 |
噛む力は、入れ歯に比べるとインプラントが勝っています。
小数歯(1~2本)の欠損の場合は、当院でもインプラントを選択するケースが多々あります。
しかし、多数の歯が失われているならば、インプラント1~2本分で、口腔内全体の治療が終えられるので経済的に魅力があると思われます。
ご来院前に当院の入れ歯治療のページをご覧いただけるとスムーズかと思いますのでぜひご覧ください。
■ 他の記事を読む■








