虫歯や歯周病が無くても、歯並びが悪いと歯を失います(乱杭歯らんぐいば・叢生)
投稿日:2025年1月3日
カテゴリ:05.矯正(大人)の症例
30代女性です。2019年より歯のクリーニングで来院されています。
虫歯も歯周病もありません。しかし、おそらく50歳を過ぎたあたりから奥歯が割れたり、神経が死んだり、ぐらつきが出てくるはずです。
それは虫歯のせいでも歯周病のせいでもありません。歯並びと歯にかかる力によって、歯の耐用年数が限度を迎えるからです。



本来、歯を左右にギリギリ動かしたときには犬歯や前歯が当たり、奥歯は当たりません。
しかし、歯並びがガタガタになることによって上下の前歯のかぶさりがなくなり、ギリギリした時に奥歯しか当たらなくなっています。
その為奥歯はカチカチ咬んでもギリギリ咬んでも歯が当たるため、負担過剰、人間でいえば働きすぎの過労死になることにより、神経が死んだり、割れたり、ぐらつきがでて、抜歯せざるを得なくなってきます。
経験則ですが、虫歯も歯周病もない歯並びの悪い方は50歳前後で何らかのトラブルが発生します。
以上を説明し、初診時より3年後の2022年より矯正を開始しました。
治療途中です、

MEAW矯正(GEAW矯正)というやり方です。
矯正治療には流派が30くらいあるそうです。
MEAW矯正の特徴は
・親知らずの抜歯だけで並べることのできる症例が多いこと
・親知らずが無いならば、抜歯せずに矯正できること
・咬合平面という、前後的な歯並びの傾きを変えることで並べていく
という事が挙げられます。
開咬治療に向いているともいわれています。
治療期間はちょうど2年でした。



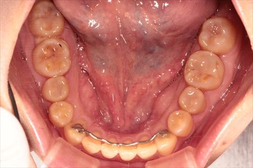
下の前歯は後戻りが最も起こりやすいので、ワイヤーで止めました。
●30代 女性
●治療費用
・矯正開始時:\550,000
・調整量:\11,000/月 × 24カ月=\264,000
・保定装置:\55,000
・総額:\869,000
●治療期間 24カ月
●リスク
この方の場合はワイヤー矯正で治療しました。
最近はアライナー矯正(マウスピース矯正)で目立たないように治療することを望む方が増えてきました。現在当医院でもマウスピース矯正の症例は増えてきましたが、一般的にマウスピース矯正の方が期間が長くかかると思ってください。
マウスピース矯正でどうしても歯を動かすことが出来ない場合、一時的にワイヤーを使うことがあります。
追記
仮に矯正をしなかったとしましょう。
50代くらいから虫歯でもないのに歯が痛くなり、神経をとり被せ物をします。
しかし、そのうち歯が割れて抜歯してインプラントやかぶせ物を入れます。
しかし、それでも次から次へと悪くなって様々な治療を行う事になります。
治療は1回で終わることはありません。生涯にかかった通院時間・通院回数・費用はどうでしょう。
歯並びを治しておけば、治療も楽ですし、そもそもトラブルが出にくいです。
つまり、歯並び治療は最高の予防診療と言えるのです。
50歳くらいから歯は悪くなるので、50歳前に矯正することをお勧めします。
■ 他の記事を読む■








