子供のころから歯並びを育てていく(早期治療 1期矯正)
投稿日:2025年1月4日
カテゴリ:04.矯正(小児・小学生)の症例
院長の清水は、もともと入れ歯やかみ合わせを専門として診療をしてきました。
今年歯科医30年目ですが、10年程度たった頃から気が付きました。
「歯並びが悪い人はどんなに予防や治療をしても、歯が悪くなり歯を失う」という事にです。
ならば子供の頃から歯並びに問題のない人を育てていくべきではないか、という考えに達し、積極的に乳歯がまだ残っている小学生の頃から矯正を始める事をしてきました。
しかし、「人の成長は予測ができない。小学生の頃の矯正に意味はなく、すべての歯が生えそろってから治療を開始した方が確実性が高くて期間も短い。スペースがないならば何本か抜歯すればよい、顎の骨の長さに左右差があるなら外科処置をすればよい。」という考えもあり、その考えも正しいのです。
しかし、それでも抜歯しなくてもいいように顎の骨を成長させたい、顎の骨の長さに左右差がないようにバランスをとりたい という思いがあり、乳歯がまだ残っている早期治療(1期治療)を行っています。
ただし、矯正治療の考え方には少なくとも30くらいはあり、早期治療はあまりしない考え方や、行うにしても当医院の方法とは違う方法の場合もあります。何が正しくて何が間違いというのではありません。
小学校3年生の男の子です。

9才であるにもかかわらず、ガタガタの歯並びをしています。
上下の真ん中もあっていません。
このまま成長していったら、顔が曲がってしまうと思われます。
へちまやキュウリは曲がり始めたら重しをつけて、まっすぐに成長するようにしていきます。
人間も曲がった骨を切るのではなく、なるべくまっすぐになるように成長させた方が良いのではないでしょうか。

画面右の前歯には生えるスペースがなく、天井(口蓋)から生えています。

矯正治療の分析において、必ず横顔のエックス線写真を撮ります。これを 側方セファロ写真 と言います。
これを撮らない矯正治療に関しては、私はどうなのだろうと少し懐疑的になります。

子供で歯並びが悪い場合、大抵、垂直的(上下的)に成長が足りていない事が多いです。
そこで、乳歯を削らずにその上にかぶせ物を貼り付けて、咬み合わせを高くします。
その上でワイヤーで歯並びを広げていきます。
かぶせ物も咬み合わせを考えるために、咬合器 というものを使用して製作します。



かぶせ物で咬み合わせを高くして、ワイヤーを付けたところです。開始よりちょうど1年たったところです。
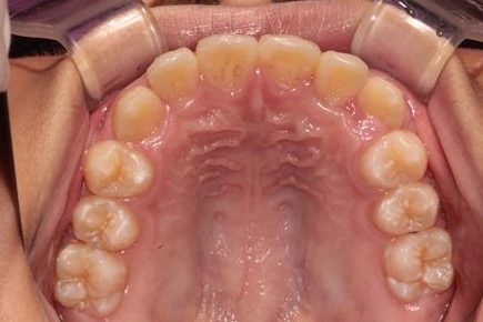
2年たち、とりあえずワイヤーを外すことになりました。



すべて永久歯に変わったため、まずは様子見となります。
現在完全に歯並びが完成したわけではありません。
10人治療をすると、程度の差はありますが5人くらいは2期治療をした方が良いと思われます。
では、早期治療に意味はないのでしょうか?そのようなことはないと思います。
もし、早期治療をしなければ、2期治療(成人矯正)の時に何本か抜歯してスペースを作らなければならなかったり、顎の骨を切らなければならなかったりしたかもしれません。
- 早期治療はあまりにも悪い状態にならないよう、状態の底上げをする治療と思って頂ければありがたいです。
| 年齢 | 9歳男子(終了時11歳) |
|---|---|
| 治療費 |
治療費330,000円+調整料5,500円/月(10%税込)×24カ月 治療終了時に保定装置55,000円(10%税込) 総額:\517,000 (10%税込) |
| リスク・注意点 |
・矯正に伴う歯の痛みや違和感を感じる場合がございます。 |
■ 他の記事を読む■








