咬みたい位置と咬める場所がだいぶズレている、顔の曲がった症例
投稿日:2025年1月5日
カテゴリ:05.矯正(大人)の症例
50代女性
上手く物が咬めないことを主訴として来院されました。

下顎が右(向かって左)にズレています。咬みこむとより右(向かって左)にズレます。
上下の前歯の真ん中があっていません。

下顎が上顎を覆っている状態です。

顔も右(向かって左)に曲がっています。頭の形も左右差があります。

横顔のレントゲン写真(側方セファロ写真)は必須だと思っております。
入れ歯やインプラントでも、全体的な治療をするときは撮影した方が良い場合があります。

顎の関節(下顎頭)の動きも計測しました。右にズレているのは間違いないようです。
右のあごの関節を1㎜、左のあごの関節を2㎜程度前に動かしても問題ないようです。
当医院では矯正治療を行う前に、顎の動きの検査CADIAX(キャディアックス)をします。
・顔に左右差がある場合
・咬みたい位置と咬める位置とに差がある場合
これらに当てはまる方の治療は非常に難しいです。入れ歯やインプラントも難しいです。
左右にズレているよりは前後のずれ(出っ歯・受け口)の方がまだましと思います。
咬みたい位置と咬める位置とを調整でほぼ一致させてから矯正治療をスタートさせました。

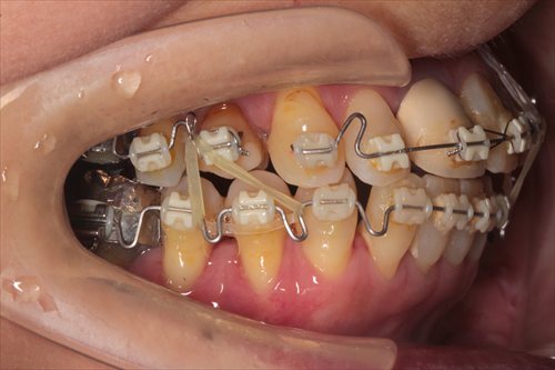
矯正開始1年後の写真です。
あまりに左右差があるため、上顎にはインプラントを入れて歯を押し込んでいます。

下顎が上顎を覆っている状態は改善されました。
1.8年(1年10カ月)矯正治療をし、2か月で奥歯にかぶせ物を行い、咬み合わせを高くしました。

上下の前歯の真ん中がほぼそろいました。しかし、骨格に左右差があるため、下の歯は多少傾いています。

右下奥歯の咬み合う面にかぶせ物を貼り付けて、咬み合わせを高くして、左右差をとりました。
「非常に咬めるようになった、頭痛をはじめとした不定愁訴もなくなった」と喜んでいただけました。
| 年齢・性別 | 50代 女性 |
| 治療費用 |
・矯正開始時:\550,000 ・調整量:\11,000/月 × 22カ月=\242,000 ・保定装置:\55,000 ・総額:\847,000 |
| 治療期間 | 22カ月 |
| リスク |
この方の場合はワイヤー矯正で治療しました。 当医院ではマウスピース矯正も行っております。 しかし、一般的にマウスピース矯正の方が遅いことからワイヤー矯正で行いました。 |
片頭痛をはじめとした不定愁訴は少なくなりました。
体の調子はあくまで付随的なものであり、体の調子を良くすることを主訴とする方には治療をしておりません。ご容赦ください。
■ 他の記事を読む■








