削りたくなく、インプラントもできない人の為のブリッジ
投稿日:2017年1月7日
カテゴリ:03.入れ歯の症例 07.審美歯科の症例
1本歯を失った方に対する治療法としては、3種類あります。
1.ブリッジ:一番一般的な治療。治療期間が短い。しかし、両隣の歯を削ることになる。
2.インプラント:両隣を削らず、新たに歯が生えたようになる。しかし、治療期間が長い
3.入れ歯:歯を削らず、治療期間が短い。しかし、使い勝手が悪い。
患者様は中国に単身赴任をされ、日本には2週間程度しかいません。
そのため、治療時間・治療期間のかかるインプラントは不可能でした。
また、入れ歯は使い勝手が悪いため、最初から考えていませんでした。
残るはブリッジですが、ただでさえすり減って条件の悪くなった歯をさらに削ると、今後歯がダメになることが予想されました
そこで ほとんど全くと言ってよいほど歯を削らずに作るブリッジ:ヒューマンブリッジ を行うことにしました。
術前です。矢印がほんのわずか歯を削った部分です。ほとんど溝です
3ピースに分かれたものを装着していきます。
この様につきます。
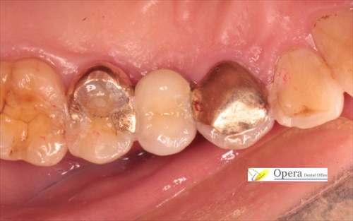
装着したところです。
術前の側面観です。
術後です。
ほとんど全く削らず、治療期間も2週間でできました。
噛む力が非常に強い方なので予後に多少の不安を残しますが、その不安はどんな治療を行ってもこの方には付きまとってきます。
とはいえ、歯を大きく削るのは嫌だがインプラントはやりたくないという方にはお勧めできる治療法と思います。
費用は 275,000円(税込) です。
| 治療費 | 275,000円(税込) |
|---|---|
| リスク・注意点 | ・過度な力がかかると技工物が破損する場合があります。 ・症例によっては多少の切削が必要となる場合がございます。 |
■ 他の記事を読む■








