インプラントからミラクルデンチャーへ変更した症例
投稿日:2020年12月20日
カテゴリ:01.ミラクルデンチャーの症例 03.入れ歯の症例
インプラントからミラクルデンチャーへ変更した症例
79歳女性です。
今から16年前、当医院が開業した直後にインプラントを上顎に行いました。
14年メンテナンスをして全く問題がありませんでした。
1年に1回レントゲンを撮って確認していたのですが、問題ありませんでした。
ところが都合で約1年来院できず、2年ぶりにレントゲンを撮ったところ、インプラントの周囲の骨が全くなくなっており、インプラントを除去せざるを得ませんでした。
年齢もだいぶいっている為、インプラントではなく部分入れ歯となりました。
上顎をできるだけ入れ歯で覆わないでほしい 入れ歯であることがわかるバネを見えないようにして欲しい というのがいちばんの望みでした。
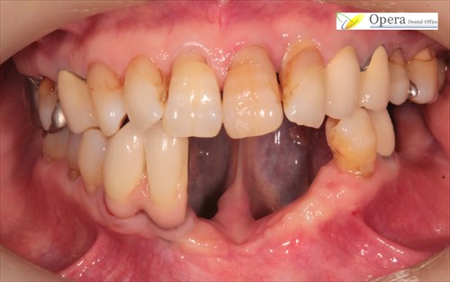
術前です。

術後です。


下は保険の入れ歯です。
日常生活でよほど固いものというのは召し上がらない為、入れ歯でも全く問題なく噛めるとおっしゃって頂けました。
上あごをあまり覆わず、歯に引っ掛ける部分入れ歯のバネ(クラスプ)も目立たず、しかも噛めるようになり、高い評価をいただけることができました。
| 年齢 性別 |
79歳 女性 |
| 治療費用 | 自費義歯 ミラクルデンチャー 385,000円(税込) |
| 治療回数 | 2回 1ヶ月(自費義歯製作のみ) |
| リスク | ごく稀に金属アレルギーを発症する可能性があります。 咀嚼能力はインプラントに劣ります。 しかし、外科処置をほとんど必要とせず、期間も短く、体に優しく、しかもインプラント1本分の金額で多数歯の治療ができるため、コストパフォーマンス・費用対効果の点で大きなメリットがあると思います。 |
噛む力は、入れ歯に比べるとインプラントが勝っています。
小数歯(1~2本)の欠損の場合は、当院でもインプラントを選択するケースが多々あります。
しかし、多数の歯が失われているならば、インプラント1~2本分で、口腔内全体の治療が終えられるので経済的に魅力があると思われます。
なお、当院では、昼休みや診療終了後に 入れ歯無料相談 も行っておりますので、是非ご利用ください。
化膿したインプラントをミラクルデンチャーに変更した症例
下の前歯に入れたインプラントが化膿してひどく痛む ということを主訴として来院された70代後半の女性です。
矢印のところが化膿したインプラントの部位であり、歯肉が腫れています。

レントゲンを診るとインプラントの周囲に骨はなく、このインプラントは単なる体を化膿させる異物となっていました。
お歳をめした方は一生懸命歯を磨いているつもりでも、残念ながらその技術が低下し、インプラントが化膿してくるケースが多々あります。
抜歯したところです。
もともと骨がないところに、さらにインプラントが化膿することによって骨が少なくなり、顎がえぐれた状態になっています。


当医院の保険の入れ歯でも、そこそこ良い評価を頂けたのですが、 「より噛めるようにしたい、入れ歯のバネ(クラスプ)が見えないようにしてほしい」 という希望を受け、自費の義歯を製作することにしました。


ほぼ無調整で痛みなく使用することができるようになりました。
このノンクラスプ義歯の金額は330,000円(税込)でした。
もちろん、テレスコープ義歯の方が噛めますし、仮に残っている歯がダメになっても作り直しをせずに修理して使えるという大きな利点があります。しかし、テレスコープ義歯は30万円では作れません。70~100万円はかかってしまうと思います。
費用対コストの事を考えると、今回のノンクラスプ義歯は非常に良い物ではないかと思います。
| 年齢 | 70代女性 |
|---|---|
| 治療費 | 330,000円(税込) |
| リスク・注意点 | ・入れ歯は経年による劣化、日々の使用によって摩耗していきます。 ・日々のお手入れ、定期的な咬み合せの調整が必要となります。 |
※ご来院前に当院の入れ歯治療のページをご覧いただけるとスムーズかと思いますのでぜひご覧ください。
■ 他の記事を読む■








