目立たないマウスピース矯正で前歯の歯並びを改善した症例
投稿日:2021年8月23日
マウスピース矯正で前歯の歯並びを改善した症例(50代 女性)
前歯の歯並びが気になるという50代女性です。
実はご主人が当医院でワイヤー矯正をされ、かなり曲がった下あごもかなり良くなったことから矯正を考えました。

青矢印の歯が奥になっている症例というのは多々あります。
このような歯並びの方はギリギリ歯ぎしりをしようとしてもこの矢印の部分で下あごがロックされてしまうので動かすことができず、上下方向の顎の動きしかできない場合が多く見られます。
そのことより奥歯が食いしばりなどでダメになるケースがよく見られます。
歯並びの美しさを求めるのではなく、歯の寿命を伸ばす、ということで中年以降の方にも矯正治療をオススメしたいと思っております。

目立たない矯正治療を希望され、また、適応症例であったことからマウスピース矯正のインビザラインを行いました。

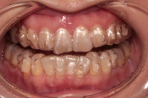
マウスピースを入れた写真です。口元のアップの写真のためマウスピースが見えますが、実際にはほとんどわかりません。
終了時です。

10ヶ月程度で終わりました。
現在、当医院では、前歯だけの矯正治療ならばこのマウスピース矯正を勧めております。
しかし、実際には奥歯が原因で前歯の歯並びが悪いケースがほとんどです。
分析の結果、極端に歯並びが凸凹でない場合はマウスピース矯正を行います。
極端に歯並びが凸凹の場合は、それでも歯を抜かずに矯正治療ができるMEAW矯正というワイヤーを使った矯正をお勧めしております。
| 年齢 性別 | 50代 女性 |
| 治療費用 |
本症例は前歯だけでしたので 精密診断¥18,700+インビザラインigo¥330,000+調整料¥3,300×10回+保定装置¥55,000=¥381,700(10%税込)でした。 もし、臼歯も動かさなければならない場合は |
| 治療期間 | この症例では10ヶ月でした |
| リスク | 1日20時間は必ず装置をつけてもらうことにんります。 自己判断や面倒臭さで装置をつけていない場合、治療結果が遅くなるか、または意図しないより悪い状態になることがあります。 |
マウスピース矯正で前歯の捻じれを改善した症例(40代 女性)
40代女性、上の前歯の歯並びが気になるとの事でした。
正面から見た時にはわからないかもしれませんが、のぞき込むと前歯が捻転しています。

目立たない様に矯正治療をしたいとの事でしたのでマウスピース矯正を行う事にしました。
インビザラインiGo(アイゴウ)というシステムです。
歯に着いたふくらみは、マウスピースに引っ掛けるためのアタッチメントです。
矯正治療終了時に除去します。
マウスピースを装着したところです。
アップで写真を撮っていることと、光の加減でマウスピースが目立っているように見えますが、実際にはわかりません。
8か月後です。


歯の捻転が治っているのがお分かりになるでしょうか?
歯並びが悪いと、過剰に力がかかる歯と全く力がかからない歯とに分けられてしまうため、過剰に力がかかる歯は早期に動揺がはじまったり破折したりして喪失することになります。
| 年齢 性別 | 40代 女性 |
| 治療費用 |
本症例は前歯だけでしたので 精密診断¥18,700+インビザラインigo¥330,000+調整料¥3,300×8回+保定装置¥55,000=¥430,100(10%税込)でした。 もし、臼歯も動かさなければならない場合は
|
| 治療期間 | この症例では8ヶ月でした |
| リスク | 1日20時間は必ず装置をつけてもらうことにんります。 自己判断や面倒臭さで装置をつけていない場合、治療結果が遅くなるか、または意図しないより悪い状態になることがあります。 |
■ 他の記事を読む■








