「歯医者に健康な歯を大きく削られた」は本当か? 虫歯の真実
投稿日:2021年9月7日
カテゴリ:12.虫歯の症例
開業医として同じ地で診療をしていると、1年に数回
「よその歯科医院で、小さな虫歯を悪くもないのに大きく削られた!二度と行かない!!」
と憤慨して転医してくる方がいらっしゃいます。
勿論当医院から他の医院に転医する方も不満があるから転医するのでしょう。
しかし、患者さんの意見がいつでも真実でしょうか?
この症例の患者さんは前述の様な不満をもっていらした方ではありません。
全体的に虫歯があるので治療してほしいとの事です。
レントゲンで診ると大きな虫歯がみられます。

レントゲンの解説です。青く塗った部分がすべて虫歯です。
今回は下の歯の治療を行います。虫歯が大きくなり、神経に近接しています。

虫歯の写真です。歯の真ん中に黒い点があるだけです。
これだけならば一般の方は小さい虫歯としか思わないかもしれません。
しかしレントゲンで大きいという事は既に分かっています。
虫歯は入り口が狭く、中で大きく成長するものなのです。

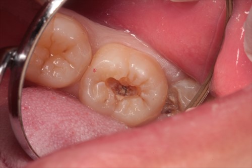
虫歯を削った所です。中にまだ虫歯でぐずぐずになった部分が残っています。
虫歯を取りきったところです。唾液が入らない様にゴムのシートをかけています。

この後、プラスチック(コンポジットレジン・CRと略)で埋めて治療を終了しました。
「悪くないものを削られた」というのは思い込みのケースが多く、実際にはこのケースの様に中で大きく成長していたのではないかと考えざるを得ないケースが多々あります。
しかし、不満を持っていらした患者さんは自分の考えを主張され、ほとんど全く自説を折ることはありません。論破してもいい事は無いので説得することはりませんが、説明しても聞き入れてくれないときは本当に悲しくなります。
では、なぜ虫歯が大きくなっても気が付かないのでしょうか?それは以下の事が考えられます。
1.大きい虫歯程あまり凍みません。何故なら、虫歯が大きくなるとその分だけ神経(歯髄)が逃げるため、なかなかしみないのです。ただし、虫歯から逃げきれなくなって虫歯に神経が追い付かれると、ひどい痛みが出ます。
2.レントゲンを撮らない。患者さんの中にはやたらと放射線量を機にされる方がいらっしゃいます。それで発見が遅れるのです。
歯科で使われるレントゲンの被ばく量など、海外旅行の飛行機で浴びる放射線量の何十分の一です。しかも飛行機の場合は全身に放射線を浴びますが、歯医者のレントゲンは首から上だけです。
また、「歯医者が儲けるためにレントゲンを勧めるのだろう」とうがった考えの方もいらっしゃいます。町医者は人気商売であるため、この様な悪評を非常に嫌がります。
本当は1年に1回は大きなレントゲンを撮って状態を確認すべきなのに、マスコミが時々書く悪い歯医者の事例を鵜吞みにして良医を敵視する方が世の中にはいらっしゃるため、医者側が警戒し、結果レントゲンを撮らないで発見が遅れることになります。
マスコミは情報を発信するプロであって、各々の事例のプロではありません。専門性のある物事程、マスコミの情報はある一面しか報じてないという事を御理解いただければ幸いです。
| 年齢 性別 | 20代 男性 |
| 治療費用 |
保険3割負担で約1,500円 |
| 治療期間 | この歯1本に対して1回 |
| リスク |
虫歯が深く神経に近接している場合、凍みが出ることがあります。凍みがひどい場合は神経を取ります。 また、深い虫歯はその時は神経を保存できても、半年くらいたってから神経が死んでしまう事があります。 |
■ 他の記事を読む■








