上あごの天井(口蓋)を覆わない部分入れ歯
投稿日:2021年9月12日
カテゴリ:01.ミラクルデンチャーの症例 03.入れ歯の症例
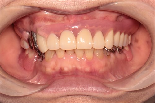
上あごの天井(口蓋)を覆わない部分入れ歯 70代女性
70代女性です。
前歯も奥歯もグラグラするというのが主訴でした。
正面観です。
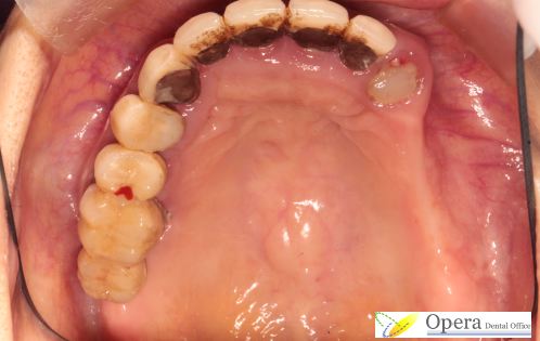
上あごの咬合面観です

咬合面観の解説です。残せる歯は3本しかありません。

保健の入れ歯はすべてプラスチックで作るため、天井をすべて覆わなければすぐに割れてしまいます。
そもそも部分入れ歯は学問として考えるならば必ず金属床で作らなければなりません。
しかし、もし金属床を保険でできるようにすると財政が破綻します。
しっかりしている歯が残っている間に、自費ではありますが金属床の部分入れ歯をお勧めいたします。
入れ歯を入れた正面観です。保険の入れ歯では目立つ歯に引っ掛ける金属の爪(クラスプ)が目立ちません。
入れ歯を入れた上あごの咬合面観です。学問としては金属床であっても天井(口蓋)を覆うべきだと言われています。しかし、患者さんの使用感を優先し、天井をなくしています。
患者さんは外れもせず、痛みもせず、非常に良いと高い評価をしてくださいました。

入れ歯を外したところです。
ミラクルデンチャーです。
以前私はテレスコープデンチャーやインプラントを非常によくやっておりました。
最近はこちらのミラクルデンチャーが多くなってきております。
と申しますのも、インプラント1本の金額でかなり大きなミラクルデンチャーを製作することができ、かつテレスコープデンチャーよりもかなり廉価にできて、それでいて咀嚼機能に遜色がなく、残った歯さえ失わなければ修理もきくからです。
| 年齢 性別 | 70代 女性 |
| 治療費用 |
保険2割負担で約12,000円(3本被せものをしました) |
| 治療期間 | 保険自費合わせて約3ヶ月 |
| リスク | ごく稀に金属アレルギーを発症する可能性があります。 咀嚼能力はインプラントに劣ります。 しかし、外科処置をほとんど必要とせず、期間も短く、体に優しく、しかもインプラント1本分の金額で多数歯の治療ができるため、コストパフォーマンス・費用対効果の点で大きなメリットがあると思います。 |
天井を覆わない・バネが見えない入れ歯(80代男性)
80代男性です。
過去に作った入れ歯がどうしても合わないということで来院されました。
義歯を外した正面です。

義歯を外したところです。
テレスコープデンチャーの内冠と磁石が混在しています。
違うシステムが混在していると修理が難しくなったり、義歯のガタつきが取れなかったりすることがあります。

義歯を入れたところです。

義歯の裏面です。

何度か修理をしたのですがマグネットとテレスコープデンチャーという2種のシステムが混在していたことからどうしてもガタつきが取れず、また、天井を横切るバーが気になって発音がしづらいとのことでした。
テレスコープシステムで統一させると治療費が100万を超えることことから、残っている歯は保険診療で行い、ミラクルデンチャーを装着することに相談の上決定いたしました。
装着時です。
入れ歯への引っ掛け(クラスプ)はピンク色をしているので、顔を近づけて凝視しない限り入れ歯であることはわかりません。

天井が抜けているので発音がしやすく、嘔吐感が少ないとのことです。
また、外れにくく密着感があって、快適とのことです。

義歯を外したところです。

義歯の表面です。

義歯の裏面です。

当医院では 何でもかんでも高額な自費診療という方針ではなく、 保険でまかなえるところは保険診療、審美的にどうしても問題が出るところや機能を高めたいところにだけ自費診療 という方針で治療をしています。
なお当医院では、75歳(後期高齢者)より若い方・全身疾患のない方・歯の欠損本数が少ない方には積極的にインプラントも行なっています。
| 年齢 性別 | 80代 男性 |
| 治療費用 |
保険2割負担で約24,000円(6本被せものをしました) |
| 治療期間 | 保険自費合わせて約4ヶ月 |
| リスク | ごく稀に金属アレルギーを発症する可能性があります。 咀嚼能力はインプラントに劣ります。 しかし、外科処置をほとんど必要とせず、期間も短く、体に優しく、しかもインプラント1本分の金額で多数歯の治療ができるため、コストパフォーマンス・費用対効果の点で大きなメリットがあると思います。 |
噛む力は、入れ歯に比べるとインプラントが勝っています。
小数歯(1~2本)の欠損の場合は、当院でもインプラントを選択するケースが多々あります。
しかし、多数の歯が失われているならば、インプラント1~2本分で、口腔内全体の治療が終えられるので経済的に魅力があると思われます。
なお、当院では、昼休みや診療終了後に 入れ歯無料相談 も行っておりますので、是非ご利用ください。
患者さんの感想 感想文_0001-2
今までの入れ歯について
①金額の割に食べ物が入り食事の途中で口を灌ぎにいきました。②前歯の所が良く折れました。また別の所が折れよく修理しました。③左右の奥歯をマグネットで止めてありますがよくはづれました。
今度の入れ歯について
①上顎にブリッチがなくスムースに食事ができるようになりました。②入れ歯をはめる時ちょっと固いかな?と思いましたが、下顎を使ってカンタンに入り違和感がなく、大変ヒットしています。
③食事の後も食べ物が入らず固いものもしっかり食べれて食事が楽しくなりました。ありがとうございます。
入れ歯のバネが見えない・天井のない部分入れ歯 70代女性
70代女性、天井のない入れ歯、バネ(クラスプ)の見えない入れ歯を希望されました。
正面観です。

咬合面観です。

保存可能と思われるのはこの3本だけで、残りの歯は歯の硬い部分が残っていなかったり、歯周病ではを支える骨がなかったりして、2年物とは思えませんでした。

一般の方は「10年物治療」と言えば非常に聞こえがいいと思います。
しかしこれには裏があります。
「10年物治療」を行うためには、10年持たない歯を抜歯しなければなりません。
そのため、高額な治療になればなるほど、抜歯の本数が増えます。
自費診療しかなく、1本治療をすれば30万円40万円当たり前のアメリカに顕著ですが、高額な治療を行なって2年でダメになったらすぐに訴訟です。
そのため抜歯の本数が多くなり、絶対に残せるしっかりした歯のみを残して治療を行うことになります。
それに対して日本は値段が高いと言っても1万円凸凹で治療できます。
そのため、少しでも長く残してほしいという患者さんの気持ちを優先させることになります。
では日本・アメリカどちらの方針の方が歯を残せるかということになりますと、10年後に残っている歯の本数はほぼ同じとのことです。
よって、たくさん抜歯してしっかりとした治療を行うか、それともたとえ状態が悪くても大切に残していくか、どちらがいいかは患者さんの考え方次第ということになります。
欧米人は比較的、悪いものはさっさと無くして代替物を入れれば良い という考え方のようです。全ては造物主によって作られた作り物という考え方でもあるのでしょうか。
それに対して日本は 少しでも残して という考え方のようです。 身体髪膚これを父母に受くあえて毀傷せざるは孝の始めなり という考え方でもあるのでしょうか。
ミラクルデンチャー装着時です。入れ歯の引っ掛けはまずわかりません。

ミラクルデンチャーを外したところです。
ミラクルデンチャーを装着したところです。

ミラクルデンチャーを外したところです。



当医院には「部分入れ歯が合わない』ということで静岡県の東部(駿河)から愛知県東部(三河)くらいの範囲で多くいらっしゃいます。(少数ですがもっと遠くからいらっしゃる方もいます。)
部分入れ歯が合わないということを主訴として来院される方にはいつも
「部分入れ歯が合わないのは部分入れ歯が悪いわけではありません。残っている歯が部分入れ歯の入らないような形をし、部分入れ歯が外れるような環境にあるからです。そのため、残っている歯を処置する可能性があります。」
と申しております。
この症例では3本、自費診療で被せ物をやり直し、その上でミラクルデンチャーを装着しました。
| 年齢 性別 | 70代 女性 |
| 治療費用 | 自費被せ物3本で330,000円(110,000円×3本 税込) 自費義歯ミラクルデンチャー 385,000円(税込) |
| 治療期間 | 自費被せ物3ヶ月(抜歯して治癒を1ヶ月待つ) 自費義歯製作4回1ヶ月強 |
| リスク | ごく稀に金属アレルギーを発症する可能性があります。 咀嚼能力はインプラントに劣ります。 しかし、外科処置をほとんど必要とせず、期間も短く、体に優しく、しかもインプラント1本分の金額で多数歯の治療ができるため、コストパフォーマンス・費用対効果の点で大きなメリットがあると思います。 |
噛む力は、入れ歯に比べるとインプラントが勝っています。
小数歯(1~2本)の欠損の場合は、当院でもインプラントを選択するケースが多々あります。
しかし、多数の歯が失われているならば、インプラント1~2本分で、口腔内全体の治療が終えられるので経済的に魅力があると思われます。
なお、当院では、昼休みや診療終了後に 入れ歯無料相談 も行っておりますので、是非ご利用ください。
患者さんの感想 感想文_0003-2
当クリニックに通い始めて1年半、先生には何度も治療の相談に応じていただきどのような治療方法があるのか詳しく説明して頂きました。
歯茎の治療や高さを合わせるなどの治療を1つ1つ丁寧にしていただいたからこそ今回の最終的な目標でもあったミラクルデンチャーを快適に使用できていることがとてもありがたく思います。今があるのは先生をはじめスタッフの皆さまにも大変親切にしていただき治療のたびに修理が必要となる義歯を食事などに困らない様にとても丁寧に治して頂きました。義歯の脱着の仕方もわかりやすく教えて頂き最近やっと慣れてきました。皆様のおかげで本当にありがとうございました。感謝しております。今後ともよろしくお願いいたします。
口蓋が邪魔にならない、薄い部分入れ歯 70代女性
70代女性、歯がぐらぐらしているという事で来院されました。


写真の左の3本程度しか歯を残せそうにありませんでした。その他は虫歯で歯がほとんどなくなっておりました。
保険の上あごの入れ歯は、基本的には天井を覆わなければなりません。
なぜなら、プラスチックでできており、必ず割れるからです。
部分入れ歯は学問として正しい事をするのならば、金属で作らなければなりません。
しかし、保険という国家予算の関係で、仕方がなくプラスチックのみが保険で認められております。
歯科に保険というものが存在しない日本以外のほとんどの国では、お金が無ければ歯抜けのままです。
歯が1本もない人の人口に対する割合は、日本よりアメリカの方がよっぽど高いと聞きます。
金属で作ったとしても本当は天井部分を大きく伸ばした方が、力学的には正しいと言われておりますが、患者さんの感情を考えて、できるだけ覆わない様にしています。


上顎で残った歯は3本だけでした。



入れ歯のひっかける部分をできるだけ目立たないようにし、天井を抜いて滑舌をよくしました。
ミラクルデンチャーと言い、非常にフィット感が良く、また、修理ができるのが魅力です。
当医院には入れ歯がうまくいかないので作ってほしいという方がいらっしゃいます。
しかし、入れ歯が悪いのではありません。
残っている歯や歯並びが入れ歯が入るのに適した形をしていないから、入れ歯が入らないのです。
その為、入れ歯を作る前に、残す歯に手を加えることが多いので、やはり3か月程度はかかります。
| 年齢 性別 | 70代 女性 |
| 治療費用 |
上自費総義歯 385,000円(税込) |
| 治療期間 | 保険自費合わせて約8ヶ月 |
| リスク | ごく稀に金属アレルギーを発症する可能性があります。 咀嚼能力はインプラントに劣ります。 しかし、外科処置をほとんど必要とせず、期間も短く、体に優しく、しかもインプラント1本分の金額で多数歯の治療ができるため、コストパフォーマンス・費用対効果の点で大きなメリットがあると思います。 |
噛む力は、入れ歯に比べるとインプラントが勝っています。
小数歯(1~2本)の欠損の場合は、当院でもインプラントを選択するケースが多々あります。
しかし、多数の歯が失われているならば、インプラント1~2本分で、口腔内全体の治療が終えられるので経済的に魅力があると思われます。
※ご来院前に当院の入れ歯治療のページをご覧いただけるとスムーズかと思いますのでぜひご覧ください。
■ 他の記事を読む■








