目立たないインビザラインによる矯正治療
投稿日:2022年6月12日
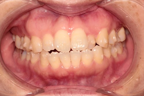
目立たないインビザラインによる矯正治療(開咬 20代女性)
20代女性 歯並びを気にされて来院されました。

上の前歯が下の歯を覆っていません。 この状態の歯並びを 開咬 と言います。
カチカチ噛んでもギチギチ歯ぎしりしても奥歯しか当たらないため、奥歯が割れたり揺れた入りして抜歯せざるを得なくなる、非常に厄介な歯並びです。
虫歯や歯周病は歯を失う原因として一般の方にも認知されていますが、歯並びの悪さが歯を失う原因という事はまだ広まっていないようです。
目立たない矯正という事でマウスピース矯正・インビザラインを行いました。

この様なマウスピースを用いて歯を動かします。写真なのでマウスピースがわかりますが、一般生活ではまず分かりません。
この症例早く終わり、3か月で終了しました。
審美のみを目的とした場合、それは美容外科と同等の扱いとなるので医療費控除はききません。
しかし、当医院が行っている様に、かみ合わせを通して歯の喪失の予防をを目的とした場合は、医療費控除が適応される可能性が高まります。
| 年齢 性別 | 20代 女性 |
| 治療費用 |
本症例は前歯だけでしたので 精密診断¥18,700+インビザラインigo¥330,000+調整料¥3,300×3回+保定装置¥55,000=¥413600(10%税込)でした。 もし、臼歯も動かさなければならない場合は
|
| 治療期間 | この症例では3ヶ月でした |
| リスク | 1日22時間は必ず装置をつけてもらうことになります。 自己判断や面倒臭さで装置をつけていない場合、治療結果が遅くなるか、または意図しない、より悪い状態になることがあります。 |
目立たないインビザラインによる矯正治療(開咬 40代女性)
40代女性です。目立たない様に歯並びを変えたい、分からない様に矯正治療をしたいとの事でした。
この症例の様に上の前歯が下の前歯に覆いかぶさっていない場合、カチカチ噛んでもギリギリ歯ぎしりしても奥歯しか当たらないため、きれいな歯並びの方よりも早く奥歯がダメになります。
具体的にはぐらつきが起こったり、歯が割れたりします。
審美の為だけではなく、歯を守る予防の為にも歯科矯正治療を始めました。
なお、歯に着いているふくらみは、マウスピースをひっかけるためのアタッチメントです。
矯正治療終了時に除去します。
マウスピースを着けたところです。
アップで写真を撮っているのでマウスピースが装着されていることがわかりますが、実際には装着していることはわかりません。
終了時です。
カチカチ噛んだ時は奥歯が当たり、ギリギリ歯ぎしりした時は前歯が当たるというかみ合わせとなり、前歯と奥歯が共同して互いを守る歯並びとなりました。
審美のみを目的とした場合、それは美容外科と同等の扱いとなるので医療費控除はききません。
しかし、当医院が行っている様に、かみ合わせを通して歯の喪失の予防をを目的とした場合は、医療費控除が適応される可能性が高まります。
| 年齢 性別 | 40代 女性 |
| 治療費用 |
本症例は前歯だけでしたので 精密診断¥18,700+インビザラインigo¥330,000+調整料¥3,300×6回+保定装置¥55,000=¥423500(10%税込)でした。 もし、臼歯も動かさなければならない場合は
|
| 治療期間 | この症例では6ヶ月でした |
| リスク | 1日20時間は必ず装置をつけてもらうことにんります。 自己判断や面倒臭さで装置をつけていない場合、治療結果が遅くなるか、または意図しない、より悪い状態になることがあります。 |
かぶせ物を入れるために実施したマウスピース矯正の症例
50代女性、奥歯が歯周病で抜歯せざるを得ず、インプラント、ブリッジ、入れ歯のいずれかを入れなければなりません。

歯並びが悪く、歯と歯が平行になっていないと、被せ物でつなげることもできません。
入れ歯を入れようとしても、斜めになている歯に引っかかって入れ歯を入れることができません。
インプラントを入れようとしても、近くに斜めの歯があると、それに合わせて斜めに入れなければなりません。
どうしても矯正治療が必要であることを説明し、同意を得ました。
大学を卒業して約25年になりますが、長くひとところで診療をしているとどのように歯が失われていくかが見えてきます。歯並びの悪い人はたとえ虫歯や歯周病が軽度であっても、40代半ばくらいから歯が悪くなってきます。
歯並びが悪いという事は、ある特定の歯に力が余計にかかるという事です。その歯が徐々に悪くなってきて、40代半ばくらいから欠損がはじまります。
欠損した所にインプラントや入れ歯を入れても、そもそもそこに過大な力がかかって歯が無くなった場所ですので、インプラントや入れ歯がダメになったり、もしくはそこに噛み合う歯がダメになってきます。
ビッグデータの解析より、受け口の人は明らかに80歳時点で残っている歯の本数がそうでない人よりも少ないという事がわかっております。
40代の方は いまさら歯並びなんて と思わず、40代の方こそ、矯正治療をお勧めします。
40代の方はお子さんも矯正が必要な年ごろです。
当医院では家族割引を行っていますので、ご相談ください。
装置を入れたところです。
アップの写真であるため、目立つと思われるかもしれませんが、実際は透明なので目立ちません。

約半年後です。


これだけ歯と歯が平行になってくれれば、右上の歯がないところもブリッジ(連結した被せ物)を入れることができます。
審美的にも気に入っていただけました。
| 期間 | 約半年 |
| 料金 | 385,000円(税込)、3,300円(税込)×6回、保定装置55,000円(税込) |
| デメリット | 奥歯、大臼歯の噛み合わせに問題がある型の場合は、ワイヤー矯正にせざるを得ません。 |
■ 他の記事を読む■








