歯周病で歯が無くなった後の入れ歯:ミラクルデンチャー
投稿日:2022年6月19日
カテゴリ:01.ミラクルデンチャーの症例 03.入れ歯の症例
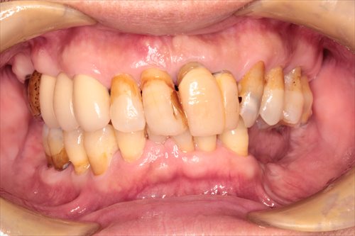
60代男性 歯周病で歯がぐらつく、無くなった場所があるとのことです。



残せない歯もあり、また、治療しなければならない歯も多々ありました。
私清水は補綴(入れ歯・被せ物・咬合)歯科学会の会員であることから、入れ歯を良くしてくしてほしいという主訴の方が多くいらっしゃいます。
しかし、入れ歯が悪いのは入れ歯が悪いのではなく、残っている歯が入れ歯に合わない形や並びをしているからです。歯並びが悪い方は歯を失いやすいだけでなく、入れ歯もインプラントも入れにくいのです。
ほとんどの歯を保険診療で治療した後、自費のミラクルデンチャーを装着しました。

上は保険の入れ歯であるため、クラスプ(歯に引っ掛けるフックの事)が見えます。
下はそれが目立ちません。
保険の入れ歯です。

ミラクルデンチャーです。
一般的に上よりも下の入れ歯の方が受け入れられないケースが多いため、下の入れ歯に費用をかけることをお勧めしています。

まず、下が入れ歯であることはわからないはずです。




医院では 何でもかんでも高額な自費診療という方針ではなく、 保険でまかなえるところは保険診療、審美的にどうしても問題が出るところや機能を高めたいところにだけ自費診療 という方針で治療をしています。
なお当医院では、75歳(後期高齢者)より若い方・全身疾患のない方・歯の欠損本数が少ない方には積極的にインプラントも行なっています。
| 年齢 性別 | 60代 男性 |
| 治療費用 |
保険3割負担で約80,000円(約10本被せものをしました) |
| 治療期間 | 保険自費合わせて約4ヶ月 |
| リスク | ごく稀に金属アレルギーを発症する可能性があります。 咀嚼能力はインプラントに劣ります。 しかし、外科処置をほとんど必要とせず、期間も短く、体に優しく、しかもインプラント1本分の金額で多数歯の治療ができるため、コストパフォーマンス・費用対効果の点で大きなメリットがあると思います。 |
噛む力は、入れ歯に比べるとインプラントが勝っています。
小数歯(1~2本)の欠損の場合は、当院でもインプラントを選択するケースが多々あります。
しかし、多数の歯が失われているならば、インプラント1~2本分で、口腔内全体の治療が終えられるので経済的に魅力があると思われます。
なお、当院では、昼休みや診療終了後に 入れ歯無料相談 も行っておりますので、是非ご利用ください。
また、ご来院前に当院の入れ歯治療のページをご覧いただけるとスムーズかと思いますのでぜひご覧ください。
■ 他の記事を読む■








